
Proteinúria refratária em paciente com Nefrite Lúpica
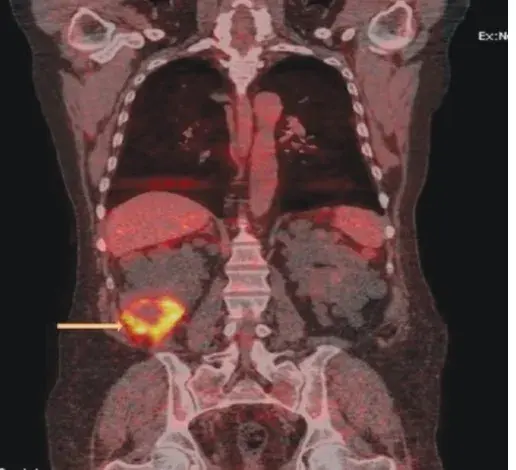
Caso muito ilustrativo publicado no Kidney 360 (link) Paciente do sexo feminino com 43 anos e com antecedente de nefrite lúpica (NL) proliferativa há 13 anos. A paciente apresentava histórico de acometimento grave da doença, com múltiplos tratamentos com infusões de metilprednisona e ciclofosfamida devido ao acometimento do sistema nervoso central (SNC) e da NL.
Valkercyo Feitosa
3 anos atrás






